DICOM

DICOM

DICOM (Digital Imaging and Communications in Medicine) est une norme internationale pour le stockage, la transmission et la gestion des informations d'imagerie médicale et des données associées. Elle garantit l'interopérabilité entre différents dispositifs et systèmes d'imagerie, tels que l’IRM, le scanner (CT), l’échographie et la radiographie, en normalisant le format des images et les protocoles de communication utilisés pour les partager. Les fichiers DICOM contiennent généralement à la fois des images et des métadonnées importantes, telles que les informations sur les patients, les paramètres d'imagerie et les détails des examens, ce qui les rend indispensables pour assurer l'efficacité et la précision des diagnostics, de la planification des traitements et de l'archivage dans les environnements médicaux.

Points clés

  • DICOM est la norme la plus répandue pour le stockage des images médicales et des métadonnées associées.
  • Cette norme garantit la compatibilité et les communications entre différents dispositifs d'imagerie médicale et systèmes de santé.
  • Elle permet d'acquérir et de stocker des images multidimensionnelles dans un seul et même espace de stockage avec une plage dynamique élevée (jusqu'à 16 bits).
  • La plupart des fabricants de dispositifs médicaux supportent pleinement cette norme, dont l'usage est très répandu dans les hôpitaux et les cliniques.

Le format de données DICOM

Le format de données DICOM permet de stocker et de transmettre efficacement les images médicales et les métadonnées associées sous la forme d'un fichier standardisé. Chaque fichier DICOM contient des éléments de données organisés de manière hiérarchique, notamment des tags, des types de données, des longueurs et des valeurs. Le format DICOM encapsule à la fois les images (tomodensitométrie, IRM, échographie, radiographie, etc.) et les métadonnées (identifiant du patient, paramètres d'acquisition, horodatages, etc.). Contrairement aux formats d'image d'usage courant comme JPEG et PNG, le format DICOM est spécialement conçu pour un usage médical. Il supporte les images multitrames, les volumes 3D et l'intégration avec les systèmes d'information hospitaliers. Le format « Enhanced DICOM » (DICOM amélioré) est une version avancée offrant un meilleur support des technologies d'imagerie modernes et des workflows cliniques complexes, ce qui le rend incontournable pour assurer précision et interopérabilité en milieu clinique.

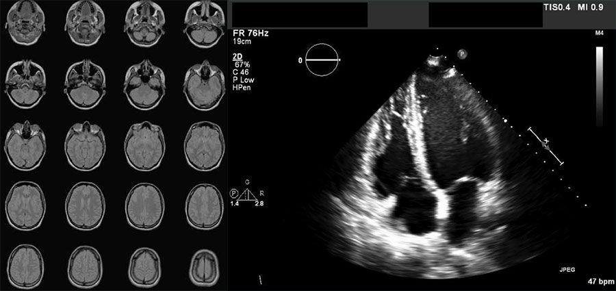
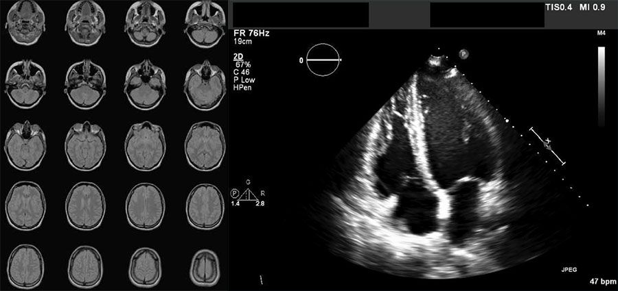
Exemples d'images au format DICOM : une série de 20 images issues d'une IRM cérébrale et une échographie cardiaque.

Série d'images cérébrales obtenues par IRM (à gauche) et échographie cardiaque (à droite), stockées au format DICOM.

Applications de DICOM

Le format DICOM revêt une importance essentielle en radiologie et dans d'autres domaines médicaux, tels que la cardiologie et l'oncologie. Sa capacité à combiner des images avec des métadonnées détaillées le rend idéal pour l'intégration avec l'IA et le Machine Learning, permettant une analyse avancée des images, des diagnostics automatisés et une aide aux prises de décisions cliniques. Il joue également un rôle essentiel dans le domaine de la télésanté, en permettant un partage sécurisé et efficace des images médicales pour les consultations à distance, l'obtention d'un deuxième avis et les soins collaboratifs, en particulier dans les zones rurales ou mal desservies. Cette intégration du format DICOM dans les technologies de santé traditionnelles et émergentes continue d'améliorer les résultats pour les patients et de rationaliser les workflows cliniques.

Gestion des données DICOM avec MATLAB

Pour gérer efficacement les données DICOM, il convient d'appliquer de bonnes pratiques en matière de stockage, de sécurité et d'analyse. Les fichiers DICOM doivent être stockés dans un système de répertoires structuré, souvent intégré au PACS (Picture Archiving and Communication System), afin de garantir une récupération efficace et une accessibilité à long terme. MATLAB® vous permet de travailler avec des images médicales aux formats DICOM et Enhanced DICOM, ainsi que de communiquer directement avec les serveurs PACS. Il propose de puissantes fonctionnalités pour le traitement et l'analyse des données DICOM, notamment la lecture, l'écriture, la visualisation et la segmentation d'images médicales.  

Pour garantir la sécurité et la conformité des données, en particulier avec la loi HIPAA, le RGPD et d’autres réglementations, il est essentiel d'implémenter le chiffrement, les contrôles d'accès et l'anonymisation des données des patients. Grâce à la fonction dicomanon de MATLAB, vous pouvez supprimer les informations médicales confidentielles du fichier DICOM et créer un nouveau fichier avec les valeurs modifiées. Avec Image Processing Toolbox™, Deep Learning Toolbox™ et Medical Imaging Toolbox™, vous pouvez automatiser les workflows d'imagerie médicale, extraire des caractéristiques et même créer des modèles d'IA pour le support au diagnostic, faisant ainsi de MATLAB une plateforme précieuse pour la recherche clinique et le développement de dispositifs médicaux.

Capture d'écran montrant des images DICOM transversales, sagittales, coronales et volumétriques 3D d’une tomodensitométrie thoracique labellisé.

Tomodensitométrie (CT) thoracique 3D au format DICOM visualisé à l’aide de Medical Image Labeler dans Medical Imaging Toolbox. (Consulter la documentation


Voir aussi: dispositifs médicaux, analyse d'images médicales, segmentation d'images médicales, Medical Imaging Toolbox

Imagerie médicale

MATLAB et Simulink pour l'imagerie médicale

Avec MATLAB et Simulink, vous pouvez créer des algorithmes de traitement d'images et des modèles d'IA explicables pour l'imagerie médicale, et concevoir des équipements d'imagerie médicale.