Mustererkennung

Was ist eine Mustererkennung?

Die Mustererkennung ist der Prozess der Klassifizierung von Eingangsdaten in Objekte oder Klassen auf Grundlage der Hauptmerkmale. Es gibt zwei Methoden der Klassifizierung bei der Mustererkennung: überwachte und unüberwachte Klassifikation.

Die Mustererkennung wird unter anderem angewandt in den Bereichen Maschinelles Sehen, Radardatenverarbeitung, Spracherkennung und Textklassifizierung.

Überwachte Klassifikation

Die überwachte Klassifikation von Eingangsdaten in der Mustererkennungsmethode verwendet Algorithmen für überwachtes Lernen, die Klassifizierer auf der Grundlage von Trainingsdaten aus verschiedenen Objektklassen erstellen. Anschließend nimmt der Klassifizierer die Eingangsdaten an und ordnet das entsprechende Objekt oder die entsprechende Klassenkennzeichnung zu.

Beim Maschinellen Sehen werden die Techniken der überwachten Mustererkennung für die optische Zeichenerkennung (OCR), Objekterkennung und Objektklassifikation verwendet.

Pattern Recognition 01
 
Gesichtserkennung (links) und Stoppschilderkennung (rechts) unter Verwendung von mehrstufigen Klassifizierern. Weitere Informationen siehe  Beispiel und  Tutorial.
Pattern Recognition 02
 
Erkennen von Personen mithilfe von Support Vector Machines (SVM)- und HOG-Merkmalsextraktion. Weitere Informationen siehe Dokumentation.

Unüberwachte Klassifikation

Die Methode der unüberwachten Klassifikation findet verborgene Strukturen in nicht gekennzeichneten Daten unter Verwendung von Segmentierungs- oder Clustering-Algorithmen. Zu den gängigen Methoden der unüberwachten Klassifikation gehören:

  • K-Means-Clustering
  • Gauss-Mischverteilungen
  • Hidden Markov Modelle

In der Bildverarbeitung und im Maschinellen Sehen werden die Techniken der unüberwachten Mustererkennung für die Objekterkennung und Bildsegmentierung verwendet.

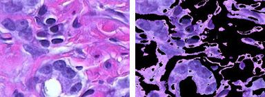
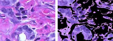
Pattern Recognition 03
 
Erkennen von bewegten Objekten durch Klassifizierung der Bildpunkte in Vordergrund (weiße Bildpunkte) und Hintergrund (schwarze Bildpunkte) unter Verwendung von Gauss-Mischverteilungen. Weitere Informationen siehe  Beispiel.
Pattern Recognition 04
 
Farbbasierte  Bildsegmentierung mit k-Means-Clustering.

Einzelheiten finden Sie unter Computer Vision ToolboxImage Processing Toolbox und Statistics and Machine Learning Toolbox, die zusammen mit MATLAB verwendet werden.


Siehe auch: Objektdetektion, Objekterkennung, Bilderkennung, Merkmalsextraktion, Bildsegmentierung, Videos zur Mustererkennung

Self-paced online course

Machine Learning Onramp

Jetzt loslegen